Evaluar los resultados clínicos y radiológicos de la discectomía cervical anterior con fusión (ACDF) utilizando cajas intersomáticas de PEEK con tornillos de titanio, analizando tasas de fusión, alineación cervical, alivio del dolor y complicaciones.
MétodosSerie retrospectiva de 40 pacientes intervenidos entre mayo de 2017 y diciembre de 2018. Se valoraron el Índice de discapacidad cervical (NDI), la Escala numérica del dolor (NRS) para dolor cervical y radicular, y parámetros radiológicos (estado de fusión, ángulos de Cobb, altura discal). Se registraron las complicaciones.
ResultadosA los 2años, todos los pacientes presentaron fusión radiológica (grados I-II de Bridwell). El NDI mediano mejoró del 56% al 20% (p<0,001). Las puntuaciones NRS para dolor cervical y radicular disminuyeron significativamente (de 8 a 2 y de 7 a 1; p<0,001). La alineación cervical y la altura discal mejoraron y se mantuvieron estables. La disfagia y la disfonía ocurrieron en el 5% y el 2,5% de los casos, respectivamente, resolviéndose espontáneamente.
ConclusionesLa ACDF con cajas híbridas PEEK-titanio atornilladas es segura y eficaz, con altas tasas de fusión, mejoría clínica significativa y baja incidencia de complicaciones. Estos dispositivos representan una alternativa fiable a los sistemas convencionales de caja y placa.
To evaluate the clinical and radiological outcomes of anterior cervical discectomy and fusion (ACDF) using titanium-screw PEEK cages, focusing on fusion rates, cervical alignment, pain relief, and complications.
MethodsRetrospective observational study of 40 consecutive patients treated between May 2017 and December 2018. Outcomes included Neck Disability Index (NDI), Numerical Rating Scale (NRS) for cervical and radicular pain, and radiological parameters (fusion status, Cobb angles, disk height). Complications were systematically documented, and longitudinal changes were analyzed using the Friedman test for repeated measures.
ResultsAt 2-year follow-up, all patients achieved radiological fusion (Bridwell grades I–II). Median NDI improved from 56% to 20% (p<0.001). Cervical and radicular pain scores decreased significantly (median NRS from 8 to 2 and 7 to 1; p<0.001). Cervical alignment and disk height improved and remained stable. Dysphagia and dysphonia occurred in 5% and 2.5% of cases, respectively, resolving spontaneously.
ConclusionsACDF using titanium-screw PEEK cages is safe and effective, providing high fusion rates, significant clinical improvement, and low complication rates. These zero-profile hybrid devices offer a reliable alternative to traditional cage-plate constructs.
La discectomía y fusión cervical anterior (DFCA) es un procedimiento quirúrgico bien establecido para el tratamiento de la enfermedad degenerativa discal cervical, la mielopatía cervical espondilótica y la radiculopatía. Desde su introducción por Smith y Robinson en la década de 19501, tanto las técnicas quirúrgicas como los diseños de los implantes han experimentado una evolución sustancial.
Históricamente, la DFCA se basaba en injertos óseos autólogos de la cresta ilíaca y sistemas de placas anteriores, los cuales aportaban estabilidad, pero se asociaban a morbilidad en el sitio donante, tiempos quirúrgicos más largos y una mayor incidencia de disfagia postoperatoria y degeneración de segmento adyacente2,3. Estas limitaciones motivaron el desarrollo de jaulas intercorporales y dispositivos de perfil cero diseñados para reducir la manipulación de los tejidos blandos y la prominencia del implante.
Se han adoptado de forma generalizada las jaulas intercorporales de polieteretercetona (PEEK) debido a sus propiedades biomecánicas favorables, como un módulo elástico similar al del hueso cortical, radiotransparencia y buena biocompatibilidad4,5. Sin embargo, la inercia biológica de la PEEK puede dificultar la osteointegración y afectar potencialmente a las tasas de fusión4,6,7.
Para hacer frente a esta limitación, se introdujeron dispositivos híbridos que combinan PEEK con titanio, ya sea mediante recubrimiento superficial o mediante fijación integrada, para mejorar la osteointegración al tiempo que se conservan las ventajas mecánicas de la PEEK8–16. Entre ellos, las jaulas de PEEK-titanio ancladas de perfil cero con tornillos integrados han mostrado ventajas potenciales, como la reducción del tiempo quirúrgico, la minimización de la disección anterior de los tejidos blandos y menores tasas de disfagia en comparación con la construcción tradicional de jaula-placa17,18.
A pesar del creciente uso clínico, la evidencia empírica de alta calidad sobre el rendimiento radiológico y clínico a largo plazo de estos implantes anclados sigue siendo reducida, especialmente en cohortes europeas. Además, los diseños de los implantes han seguido evolucionando en los últimos años e incorporando mejoras en la tecnología de la superficie de titanio y el anclaje de los tornillos. Por lo tanto, disponer de datos clínicos actualizados continúa siendo esencial para contextualizar el rendimiento de los dispositivos de PEEK-titanio anclados de generaciones anteriores.
El objetivo de este estudio es evaluar los resultados clínicos y radiológicos de la DFCA con una jaula de PEEK con tornillos de titanio de perfil cero en una serie consecutiva de pacientes tratados en un centro neuroquirúrgico terciario. Nuestra hipótesis es que esta técnica consigue altas tasas de fusión, restablece la alineación cervical y proporciona una mejora clínica significativa, por lo que ofrecen una alternativa fiable a las construcciones convencionales de jaula-placa, teniendo en cuenta las limitaciones de un diseño retrospectivo de un solo centro.
Pacientes y métodosDiseño y contexto del estudioEsta serie retrospectiva de casos se llevó a cabo en el servicio de Neurocirugía de un hospital universitario terciario de España. El protocolo del estudio fue aprobado por el Comité de Ética de la Investigación con medicamentos (CEIm; código 19/2020) de la institución, y todos los datos se anonimizaron de acuerdo con la normativa nacional de protección de datos.
Aunque el comité de ética determinó que para este diseño retrospectivo no era necesario un consentimiento informado específico por escrito, se contactó individualmente por teléfono con todos los pacientes antes de iniciar la recopilación de datos y estos dieron explícitamente su consentimiento verbal para el uso de su información clínica y radiológica con fines de investigación. Este proceso tuvo lugar antes de iniciar la evaluación de seguimiento y el análisis estadístico.
Selección de los pacientesSe incluyó a 40 pacientes consecutivos que se sometieron a DFCA con una jaula intercorporal de PEEK anclada con tornillos de titanio (NuVasive Coroent® Small Interlock™, San Diego, CA, EE. UU.) entre mayo de 2017 y diciembre de 2018. Todas las intervenciones fueron realizadas por el mismo neurocirujano jefe, lo que garantizó la homogeneidad de la técnica quirúrgica y el tratamiento postoperatorio.
Criterios de inclusión
- •
Adultos de 18años o más sometidos a DFCA por afecciones cervicales degenerativas (radiculopatía, cervicalgia axial o mielopatía cervical espondilótica).
- •
Procedimientos de uno, dos o tres niveles entre C3 y C7.
- •
Disponibilidad de un seguimiento clínico y radiológico completo al año y a los 2años.
- •
Utilización del mismo modelo de jaula de PEEK-titanio anclada (fig. 1A).
Figura 1.Dispositivo y esquema de medición. (A) Representación esquemática de la jaula intercorporal de PEEK-titanio anclada de perfil cero con tornillos integrados. (B) Esquema de medición radiográfica lateral que muestra el ángulo de Cobb segmentario (verde) medido entre la placa terminal inferior de la vértebra superior y la placa terminal superior de la vértebra inferior; el ángulo de Cobb global en C2-C7 y la altura de los discos C5-C7.
Los criterios de exclusión fueron:
- •
Instrumentación cervical previa.
- •
Infección activa, tumor o patología traumática que requiera corpectomía.
- •
Osteoporosis grave que contraindique el anclaje de tornillos intercorporales.
- •
Seguimiento incompleto o pérdida de seguimiento antes de un año.
Todos los procedimientos se realizaron con anestesia general, con el paciente en posición decúbito supino y la cabeza colocada en una postura neutra o ligeramente extendida. No se aplicó tracción cervical rutinaria. En todos los casos se utilizó un abordaje cervical anterior izquierdo convencional.
Tras la discectomía y la descompresión neural, se preparó el espacio discal con curetas y escofinas. La lordosis segmentaria se restableció elevando suavemente las placas terminales con cuchillas distractoras. La distracción intercorporal se mantuvo al mínimo, de forma suficiente para restaurar la altura fisiológica del disco y permitir la inserción de la jaula sin sobrecargar el anillo posterior.
La altura final del implante y la selección de la huella se basaron en mediciones directas de la placa terminal con fluoroscopia y en pruebas con espaciadores. Cada dispositivo implantado fue una jaula híbrida anclada de PEEK-titanio rellena de injerto óseo autólogo (75%), hidroxiapatita (20%) o matriz ósea desmineralizada (5%), según la disponibilidad intraoperatoria y la preferencia del cirujano.
El dispositivo se fijó mediante 2 o 3 tornillos de titanio, en función de la morfología de la placa terminal, la calidad ósea y las trayectorias craneocaudales disponibles de los tornillos. La colocación de los tornillos se verificó mediante fluoroscopia lateral para asegurar que el anclaje fuera el adecuado, evitar la rotura de la placa terminal y confirmar el correcto asentamiento del implante y la restauración de la lordosis.
El cierre de la herida se realizó por capas de forma convencional. No se utilizaron drenajes de forma rutinaria.
Variables y criterios de valoraciónCriterio principal de valoraciónSe evaluó el estado de la fusión al año y los 2años mediante el sistema de clasificación de Bridwell17 en combinación con radiografías dinámicas de flexión/extensión. La fusión satisfactoria se definió como los grados I-II de Bridwell o <3mm de movimiento en las imágenes dinámicas. La seudoartrosis se definió como los grados III-IV de Bridwell o >3mm de movimiento interespinoso.
Criterios secundarios de valoración- •
Criterios de valoración clínicos:
- ∘
Índice de discapacidad cervical (IDC).
- ∘
Escala de valoración numérica (EVN) del dolor cervical y radicular. Se obtuvieron medidas clínicas antes de la operación y al cabo del año y los 2años.
- ∘
- •
Criterios de valoración radiológicos:
- ∘
Ángulo de Cobb segmentario en el nivel operado.
- ∘
Alineación cervical global (ángulo de Cobb en C2-C7).
- ∘
Altura del disco en el nivel operado.
- ∘
Indicios de hundimiento de la jaula, migración o anomalías relacionadas con el dispositivo. La metodología de medición se muestra en la figura 1B.
- ∘
Complicaciones: disfagia (escala DOSS), disfonía, déficits neurológicos, infección, migración de la jaula, degeneración de segmento adyacente y necesidad de cirugía de revisión.
- ∘
Se utilizaron estadísticos descriptivos para todas las variables. Las variables continuas se expresaron como medias±desviación estándar o medianas con intervalos intercuartílicos, según la distribución. Las variables categóricas se expresaron como frecuencias y porcentajes.
La normalidad se evaluó mediante la prueba de Shapiro-Wilk. Las comparaciones longitudinales entre los puntos temporales preoperatorio, al año y los 2años se realizaron mediante la prueba de Friedman para medidas repetidas. Un valor de p<0,05 se consideró estadísticamente significativo. Los análisis estadísticos se realizaron con el programa SPSS, versión 21.0 (IBM Corp., Armonk, NY, EE. UU.).
ResultadosCaracterísticas demográficas y quirúrgicas de los pacientesCuarenta pacientes consecutivos se sometieron a DFCA con jaulas de PEEK con tornillo de titanio entre mayo de 2017 y diciembre de 2018, y todos ellos completaron el seguimiento de 2años. La edad media era de 54,7±10,3años, y el 57,5% fueron mujeres. El índice de masa corporal (IMC) medio fue de 27,7kg/m2 (intervalo de 19,2 a 40,9).
Los niveles operados fueron predominantemente C5-C6 (67,5%), seguidos de C6-C7 (40%) y C4-C5 (32,5%). Se realizó la fusión de un solo nivel en el 55% de los casos, de 2 niveles en el 35% y de 3 niveles en el 10%. No se produjeron complicaciones intraoperatorias, infecciones ni fallos en el dispositivo.
Criterios de valoración clínicosÍndice de discapacidad cervical (IDC)Las puntuaciones del IDC mejoraron significativamente con el tiempo (fig. 2A). La mediana del IDC disminuyó del 56% (intervalo intercuartílico [IQR] de 50 a 65) preoperatorio al 2 % al año y al 20% a los 2años (prueba de Friedman, p<0,001). A los 2años, el 60% de los pacientes declararon que no sufrían discapacidad o que esta era leve.
Resultados percibidos por los pacientes tras la DFCA con jaulas de PEEK con tornillos de titanio (n=40). (A) Índice de discapacidad cervical (IDC, %) al inicio, al año y a los 2años de seguimiento, presentado como mediana e intervalo intercuartílico (IQR). (B) Dolor cervical (escala de valoración numérica de 0 a 10) durante los mismos puntos temporales, mediana (IQR). (C) Dolor radicular (escala de valoración numérica de 0 a 10) en los mismos puntos temporales, mediana (IQR). Los cambios dentro de los grupos fueron significativos según la prueba de Friedman (p<0,001 para el IDC y para ambas escalas de dolor).
La mediana de las puntuaciones de dolor cervical mejoró de 8 (IQR 6-9) en el preoperatorio a 3 (IQR 1-5) al año y a 2 (IQR 0-5) a los 2años (fig. 2B). El dolor radicular también mejoró notablemente:
- •
Miembro superior derecho: la mediana disminuyó de 7 (IQR 3-8) a 1 (IQR 0-3) al año y ≈0,5 (IQR 0-3) a los 2años.
- •
Miembro superior izquierdo: la mediana disminuyó de 6 (IQR 3-7,7) a 1 (IQR 0-3) tanto al año como a los 2años (fig. 2C).
Todas las mejoras fueron estadísticamente significativas (prueba de Friedman, p<0,001).
Criterios de valoración radiológicosLas radiografías dinámicas de flexión/extensión (fig. 3) no demostraron movimiento segmentario en ningún caso en los niveles operados en el seguimiento a largo plazo. Las imágenes de resonancia magnética (RM) pre- y postoperatorias representativas (fig. 4) confirmaron una descompresión adecuada con un artefacto de susceptibilidad mínimo.
Caso 37: radiografías dinámicas de flexión/extensión. (A) Vista lateral en flexión en el seguimiento a largo plazo que no muestra movimiento segmentario en los niveles operados. (B) Vista lateral en extensión en el seguimiento a largo plazo que confirma la ausencia de inestabilidad y demuestra una construcción intercorporal estable.
Caso 3: RM cervical pre- y postoperatoria. (A) Imágenes preoperatorias axiales y sagitales ponderadas en T2 que demuestran la estenosis en el nivel operado. (B) Imágenes postoperatorias axiales y sagitales ponderadas en T2 que muestran una descompresión adecuada con un artefacto de susceptibilidad mínimo de la jaula de PEEK-titanio anclada.
En la figura 5 se muestran radiografías representativas.
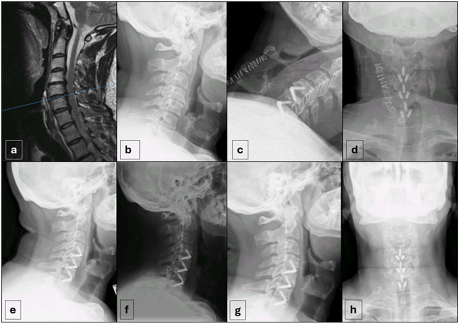
Radiografías representativas de la cohorte (caso 37). (a) RM sagital ponderada en T2 preoperatoria que demuestra estenosis cervical. (b) Radiografía lateral preoperatoria que muestra estrechamiento del espacio discal. (c y d) Radiografías postoperatorias inmediatas (vistas lateral y anteroposterior) tras la DFCA con una jaula de PEEK-titanio anclada. (e-h) Radiografías de seguimiento a largo plazo, incluidas vistas lateral, anteroposterior y de flexión/extensión dinámica, que demuestran el mantenimiento de la alineación, la fijación estable y la ausencia de movimiento segmentario.
A los 2años de seguimiento, todos los pacientes alcanzaron la fusión radiológica, correspondiente a los grados I-II de Bridwell (fig. 6A). Al cabo del año, el 95% de los pacientes presentaban una fusión satisfactoria. Dos casos de seudoartrosis de grado III se resolvieron al segundo año (fig. 7).
Resultados radiológicos tras la DFCA con jaulas de PEEK con tornillos de titanio. (A) Ángulo de Cobb segmentario en el nivel operado en el seguimiento inicial, al año y a los 2años; los valores se indican como mediana e intervalo intercuartílico (IQR). (B) Alineación cervical global (ángulo de Cobb en C2-C7) en los mismos puntos temporales; mediana (IQR). (C) Altura del disco en el nivel operado; mediana (IQR). (D) Estado de la fusión según el grado Bridwell (porcentaje de niveles operados). Las barras apiladas muestran la proporción de niveles clasificados como Bridwell I-IV al año y los 2años de seguimiento. Mapa de colores: azul=Bridwell I; naranja=Bridwell II; gris=Bridwell III; amarillo=Bridwell IV. Nota: Bridwell IV=0% en ambos momentos; Bridwell III=3,23% al año y 0% a los 2años.
Caso 39: seudoartrosis al año (Bridwell III). (A) Radiografía de extensión que demuestra una línea radiolúcida persistente en el nivel operado. (B) Radiografía en extensión que muestra movimiento segmentario compatible con seudoartrosis. (C) Radiografía en flexión que confirma la ausencia de puente óseo. El paciente era asintomático y alcanzó la fusión radiográfica completa a los 2años de seguimiento.
Un paciente (caso 39) presentó seudoartrosis de grado III al año, caracterizada por una línea radiolúcida persistente y un movimiento leve en las imágenes dinámicas. El paciente permaneció asintomático y recibió tratamiento conservador. A los 2años, las radiografías confirmaron la fusión completa. Este caso no correspondía al paciente con hundimiento del implante.
Alineación cervicalEl ángulo de Cobb segmentario mejoró de 1,05° preoperatorio a 7,1° a los 2años (p<0,001) (fig. 6B).
La alineación global en C2-C7 aumentó de 13,7° a 16,5° (p=0,016), lo que reflejó la restauración de la lordosis cervical (fig. 6C).
Altura del discoLa mediana de la altura del disco aumentó de 4mm en el preoperatorio a 7mm inmediatamente después de la cirugía (p<0,001) y se mantenía estable a los 2años (fig. 6D).
Estabilidad del dispositivoNo se produjo migración anterior ni posterior de la jaula.
Se identificó un único caso de hundimiento (caso 35) a los 3 meses. El paciente permaneció asintomático, y el segmento progresó a fusión sólida en uno o 2años sin intervención quirúrgica (fig. 8).
Caso 35: hundimiento de la jaula con progresión benigna a fusión sólida. (A) Radiografía lateral al primer día postoperatorio. (B) Radiografía a los 3 meses que muestra hundimiento en la placa terminal superior. (C) Radiografía al año que muestra una consolidación progresiva. (D) Radiografía a los 2años que confirma una fusión sólida y el mantenimiento de la alineación sin necesidad de cirugía de revisión.
Las complicaciones posquirúrgicas fueron infrecuentes y, en general, leves.
Se produjo disfagia en el 5% de los pacientes (DOSS 5-6).
Se produjo disfonía en el 2,5% de los pacientes.
Todos los casos se resolvieron espontáneamente o con tratamiento conservador. Un caso requirió evaluación otorrinolaringológica; el esofagograma fue normal.
Se observaron signos radiográficos leves de degeneración de segmento adyacente en el 32,5% de los pacientes, pero ninguno fue sintomático durante el seguimiento.
No hubo casos de deterioro neurológico, infección posquirúrgica, fallo del dispositivo ni cirugía de revisión.
Subgrupos y análisis adicionalesLos resultados fueron coherentes en todos los subgrupos.
Los pacientes sometidos a DFCA multinivel mostraron mejoras en las puntuaciones de IDC y EVN comparables a las de los tratados en un solo nivel, y se conservó la restauración de la altura del disco.
Los pacientes con cifosis cervical preoperatoria (n=6) mostraron una mayor corrección hacia la lordosis (mejora media del ángulo de Cobb de 9,5° frente a 6,8° en alineación neutra/lordótica).
Las complicaciones se distribuyeron uniformemente:
- •
Se produjo disfagia en una fusión de 3 niveles y en otra de un solo nivel.
- •
En una fusión de 2 niveles se produjo disfonía, que se resolvió espontáneamente.
Nuestras conclusiones demuestran que las jaulas de PEEK con tornillos de titanio lograron una fusión fiable y una mejoría clínica sostenida en esta cohorte retrospectiva, en consonancia con los resultados publicados anteriormente sobre dispositivos híbridos de PEEK-titanio8,9,11. La combinación del módulo elástico favorable de PEEK con las propiedades de osteointegración del titanio puede contribuir tanto a la estabilidad mecánica como a un rendimiento radiológico consistente12–16.
Estabilidad de la fusión y riesgo de hundimiento en jaulas híbridas de PEEK-titanioLa estabilidad de la fusión en esta serie se vio favorecida por la fijación integrada de los tornillos de la jaula, que probablemente reduce la micromovilidad y mejora el agarre de la placa terminal. La tasa de hundimiento observada (2,5%) se compara favorablemente con informes anteriores de dispositivos de PEEK híbridos o recubiertos de titanio9,18. La preparación adecuada de la placa terminal, la distracción controlada y una trayectoria cuidadosamente determinada de los tornillos parecen ser factores clave para evitar el hundimiento. Todos los casos de seudoartrosis y hundimiento evolucionaron hacia una fusión sólida sin necesidad de cirugía de revisión, lo que confirma la fiabilidad mecánica de esta construcción anclada.
Estabilidad radiológicaLa estabilidad radiológica se mantuvo durante todo el seguimiento, lo que concuerda con los estudios biomecánicos que demuestran que las jaulas ancladas pueden proporcionar una fijación y una alineación sagital adecuadas sin necesidad de placas suplementarias11,12. Las mejoras en la lordosis cervical, tanto segmentaria como global, concuerdan con la observación de que un equilibrio sagital adecuado se asocia con mejores resultados funcionales12,15. En nuestra serie, la restauración de la altura del disco se mantuvo estable a los 2años, lo que sugiere un soporte intercorporal duradero.
Criterios de valoración clínicosLos criterios de valoración clínicos mostraron mejoras significativas en la discapacidad y el dolor cervical y radicular, comparables a los datos publicados anteriormente sobre dispositivos anclados de perfil cero13,14. La reducida huella anterior en los tejidos blandos de estos implantes puede ayudar a explicar las bajas tasas de disfagia observadas en este estudio, que fueron inferiores a las notificadas habitualmente para las construcciones de placa anterior19. Todos los casos de disfagia y disfonía se resolvieron espontáneamente o con tratamiento conservador, y no se produjo deterioro neurológico.
Parámetros radiológicosLa alineación cervical se mantuvo favorable durante todo el seguimiento. El restablecimiento de la lordosis segmentaria y global puede contribuir a la mejoría sostenida que refieren los pacientes, ya que el equilibrio sagital es un factor predictivo conocido de la función cervical12,15.
Complicaciones y perfil de seguridadLa tasa global de complicaciones fue baja, sin infecciones, fallos en el dispositivo ni cirugías de revisión. Se observó una leve degeneración radiográfica de segmento adyacente en aproximadamente un tercio de los pacientes, pero ninguno presentó síntomas durante el seguimiento. Esto concuerda con publicaciones anteriores, que sugieren que los dispositivos de perfil cero pueden reducir la irritación de los tejidos blandos anteriores y la disfagia al tiempo que mantienen una seguridad y eficacia comparables a las de las construcciones tradicionales de jaula-placa13,19.
Es importante destacar que en este estudio se presenta una descripción transparente de las complicaciones, incluida la caracterización detallada de la seudoartrosis y el hundimiento, tal como recomienda el revisor. Todos los acontecimientos adversos siguieron un curso clínico benigno y se resolvieron sin necesidad de reintervención.
DFCA multinivel y el papel de las jaulas ancladasTradicionalmente, la DFCA multinivel se ha asociado a tasas más elevadas de complicaciones y seudoartrosis cuando se realizaba con construcciones convencionales. Aunque la placa anterior puede mejorar la estabilidad, también puede contribuir a mayores tasas de disfagia y degeneración de segmento adyacente. Metaanálisis recientes indican que las jaulas ancladas de perfil cero ofrecen tasas de fusión y resultados clínicos comparables a los de los sistemas de jaula-placa, al tiempo que reducen la irritación de los tejidos blandos y la disfagia19,20. En nuestra serie, los pacientes sometidos a DFCA multinivel mostraron mejoras clínicas y radiológicas similares a los tratados a un solo nivel, sin mayores tasas de complicaciones.
Comparación con las construcciones de jaula-placaLas jaulas ancladas de perfil cero pueden constituir una alternativa viable a las construcciones de placa-jaula, especialmente cuando se desea minimizar la alteración de los tejidos blandos. Los metaanálisis publicados también han mostrado tasas de fusión comparables, menores tasas de disfagia y resultados radiológicos similares entre estos dos abordajes20,21. Nuestros hallazgos, aunque derivados de una cohorte retrospectiva, avalan estas observaciones.
LimitacionesEste estudio presenta varias limitaciones. Su diseño retrospectivo y la falta de un grupo de control restringen la comparación directa con otros tipos de implantes. La evaluación de la fusión se basó principalmente en radiografías y en la escala de Bridwell, que puede sobreestimar la fusión en comparación con las imágenes obtenidas mediante tomografía computarizada (TC). Todos los procedimientos fueron realizados por un único cirujano en un solo centro, lo que podría limitar su generalización. El tamaño de la muestra, aunque suficiente a efectos descriptivos, podría no reflejar las complicaciones menos frecuentes.
Además, los implantes utilizados en esta serie corresponden a un diseño introducido hace casi 9años. Desde entonces, los dispositivos cervicales anclados han seguido desarrollándose, lo que incluye avances en la tecnología de superficie y la geometría de los tornillos. Estas diferencias temporales deben tenerse en cuenta a la hora de interpretar la aplicabilidad de nuestros hallazgos a generaciones de implantes más recientes.
ConclusionesEn esta serie retrospectiva, las jaulas cervicales de titanio y PEEK ancladas proporcionaron altas tasas de fusión, una mejoría clínica sostenida y un perfil de complicaciones bajo durante 2años de seguimiento. Estos resultados confirman su seguridad y eficacia como alternativa a las construcciones convencionales de jaula-placa, especialmente cuando se desea minimizar la manipulación de los tejidos blandos anteriores.
Teniendo en cuenta las limitaciones de un diseño retrospectivo de un solo centro y el uso de un dispositivo de una generación anterior, nuestros hallazgos sugieren que las jaulas de PEEK con tornillos de titanio ofrecen resultados fiables a medio plazo. Se necesitan estudios multicéntricos prospectivos con un seguimiento más prolongado e implantes contemporáneos para definir mejor el comportamiento de la fusión a largo plazo y los cambios del segmento adyacente.
Presentaciones anterioresNinguna.
Aprobación éticaTodos los procedimientos realizados en este estudio con participantes humanos se ajustaron a las normas éticas del comité de investigación institucional y nacional, así como a la Declaración de Helsinki de 1964 y sus modificaciones posteriores. El estudio fue aprobado por el Comité de Ética de la Investigación con medicamentos (CEIm) del Hospital General Universitario de Valencia.
Frase de resumenLa DFCA con jaulas de PEEK retenidas con titanio logró una tasa de fusión del 100% a los 2años, una mejora significativa del dolor y la discapacidad y una baja incidencia de complicaciones. Los dispositivos híbridos de perfil cero ofrecen una alternativa segura y eficaz a los sistemas convencionales de jaula y placa.
FinanciaciónEste estudio no ha recibido financiación específica de ningún organismo público, comercial o sin ánimo de lucro.
Conflicto de interesesLos autores declaran no tener intereses económicos ni relaciones personales que hayan podido influir en el trabajo presentado.
Los autores agradecen al personal del servicio de Neurocirugía del Hospital General Universitario de Valencia su ayuda durante la recogida de datos y el seguimiento.












