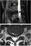
The study of degenerative pathology of the intervertebral disc (IVD) with magnetic resonance imaging (MRI) has generated such an extensive and ambiguous terminology that it causes confusion. The loss of the nucleus pulposus signal intensity (ISNP) in the T2 sequence of MRI, secondary to the early decrease in water content, is generally described as “black disc”, a term spread as a synonym for degenerative disc disease. On the other hand, to designate a supposedly symptomatic dehydrated disc, the following names have been introduced: “painful black disc”, “black disc syndrome” and “black disc disease”. In this way, the physiological dehydration of the NP present in the entire population from the third decade on, is arbitrarily considered a presumed radiological marker of discogenic back pain, with the consequent risk of being the target of unnecessary interventions. Dehydrated discs suspected of being a source of pain present, in addition to the decrease in ISNP, other radiological signs such as a high intensity zone (HIZ) in the posterior part of the annulus fibrosus (AF), protrusion, loss of height or Modic changes.
El estudio de la patología degenerativa del disco intervertebral (DIV) con resonancia magnética (RM), ha generado una terminología tan extensa y ambigua que crea confusión. La pérdida de intensidad de señal del núcleo pulposo (ISNP) en la secuencia T2 de la RM, secundaria a la precoz disminución del contenido acuoso, es descrita de forma genérica como «black disc», término difundido como sinónimo de «enfermedad degenerativa discal». Por otro lado, para designar a un disco deshidratado, supuestamente sintomático, se han introducido las siguientes denominaciones: «painful black disc», «black disc syndrome» y «black disc disease». De esta manera, la deshidratación fisiológica del núcleo pulposo (NP), ubicua en toda la población a partir de la tercera década, es considerada, arbitrariamente, un presunto marcador radiológico de dolor lumbar discogénico (DLD), con el consiguiente riesgo de ser blanco de intervenciones innecesarias. Los discos deshidratados sospechosos de ser fuente de dolor presentan, además de la disminución de la ISNP, otros signos degenerativos, como son: una zona de alta intensidad (HIZ) en la parte posterior del anillo fibroso (AF), protrusión, pérdida de altura o cambios Modic.
Article

If it is the first time you have accessed you can obtain your credentials by contacting Elsevier Spain in suscripciones@elsevier.com or by calling our Customer Service at902 88 87 40 if you are calling from Spain or at +34 932 418 800 (from 9 to 18h., GMT + 1) if you are calling outside of Spain.
If you already have your login data, please click here . p>
If you have forgotten your password you can you can recover it by clicking here and selecting the option ¿I have forgotten my password¿.







