This case presents an unusual case of Langerhans cell histiocytosis with invasion into the brain parenchyma, a rare phenomenon documented in few cases worldwide. The relevance of this case lies in the contribution to the knowledge of this pathology in the paediatric neuro-oncologic context.
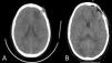
An 11-year-old boy presented with increased volume in the left frontal region, without neurological deficit or systemic symptoms. CT and MRI revealed an aggressive osteolytic lesion with perilesional oedema and intracranial extension.
Complete excision of the lesion was performed, confirming Langerhans cell histiocytosis by immunohistochemistry. Chemotherapy was started with good tolerance and no complications so far.
This case highlights the need for timely diagnosis and treatment in cases of Langerhans cell histiocytosis with brain involvement, given its potential impact on prognosis and the scarcity of specific guidelines for this type of manifestations.
Este caso presenta un acontecimiento inusual de histiocitosis de células de Langerhans con invasión al parénquima cerebral, un fenómeno raro documentado en pocos casos a nivel mundial. La relevancia de este caso radica en la contribución al conocimiento de esta enfermedad en el contexto neurooncológico pediátrico.
Un niño de 11 años presentó aumento de volumen en la región frontal izquierda, sin déficit neurológico ni síntomas sistémicos. La tomografía y la resonancia magnética revelaron una lesión osteolítica agresiva con edema perilesional y extensión intracraneal.
Se realizó una exéresis completa de la lesión, confirmando histiocitosis de células de Langerhans mediante inmunohistoquímica. Se inició tratamiento con quimioterapia, con buena tolerancia y sin complicaciones hasta el momento.
Este caso destaca la necesidad de un diagnóstico y tratamiento oportunos en los casos de histiocitosis de células de Langerhans con afectación cerebral, dado su impacto potencial en el pronóstico y la escasez de guías específicas para este tipo de manifestaciones.
Article

If it is the first time you have accessed you can obtain your credentials by contacting Elsevier Spain in suscripciones@elsevier.com or by calling our Customer Service at902 88 87 40 if you are calling from Spain or at +34 932 418 800 (from 9 to 18h., GMT + 1) if you are calling outside of Spain.
If you already have your login data, please click here . p>
If you have forgotten your password you can you can recover it by clicking here and selecting the option ¿I have forgotten my password¿.







