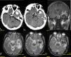
Se presenta un caso de aneurisma gigante no traumático de la arteria meníngea media en un paciente de 59años con antecedentes de trasplante hepático, cirrosis hepática y hepatocarcinoma, enfermedad renal crónica, HTA y bronquitis crónica que ingresó por presentar crisis tónico-clónica. La TC y la RM mostraron una lesión sugestiva de metástasis sin descartar un tumor de tipo glial. Fue intervenido mediante una craneotomía FT izquierda. Durante la cirugía se produjo una hemorragia arterial. La muestra histológica orientó hacia un origen aneurismático que se confirmó con ARM y angiografía. Una segunda intervención permitió la extirpación de un aneurisma gigante de la arteria meníngea media parcialmente trombosado. Los aneurismas de la arteria meníngea media son raros y en general presentan un antecedente traumático. No se ha encontrado en la literatura médica ningún caso de aneurisma gigante.
A case of a non-traumatic giant aneurysm of the middle meningeal artery is presented in a 59-year-old patient with a history of liver transplantation, liver cirrhosis and hepatocarcinoma, chronic renal disease, hypertension and chronic bronchitis who presented with tonic-clonic seizures. CT and MRI showed a lesion suggestive of metastasis without ruling out a glial type tumor. He was operated through a left FT craniotomy. During the surgery there was an arterial hemorrhage. The histological sample oriented toward an aneurysmal origin that was confirmed with ARM and angiography. A second intervention allowed the removal of a giant middle meningeal aneurysm partially thrombosed. Aneurysms of the middle meningeal artery are rare and generally present a traumatic history. No case of giant aneurysm has been found in the medical literature.
Artículo

Si es la primera vez que accede a la web puede obtener sus claves de acceso poniéndose en contacto con Elsevier España en suscripciones@elsevier.com o a través de su teléfono de Atención al Cliente 902 88 87 40 si llama desde territorio español o del +34 932 418 800 (de 9 a 18h., GMT + 1) si lo hace desde el extranjero.
Si ya tiene sus datos de acceso, clique aquí.
Si olvidó su clave de acceso puede recuperarla clicando aquí y seleccionando la opción "He olvidado mi contraseña".








