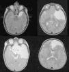
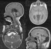
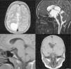
La prevalencia de los quistes aracnoideos en niños es del 1-3%. Son más frecuentes en el sexo masculino. Pueden localizarse tanto en el espacio intracraneal como a nivel espinal. Los intracraneales se clasifican en supratentoriales, infratentoriales y supra-infratentoriales. Los supratentoriales se subclasifican en de fosa media, hemisféricos de la convexidad, interhemisféricos, de la región selar e intraventriculares. Los infratentoriales se subdividen a su vez en supracerebelosos, infracerebelosos, hemisféricos, clivales y de ángulo pontocerebeloso. Por último, los espinales se clasifican según su localización extra o intradural y su afectación de raíces nerviosas.
The prevalence of arachnoid cysts in children is 1-3%. They are more frequent in boys. They can be located intracranially or in the spine. Intracranial cysts are classified as supratentorial, infratentorial, and supra-infratentorial (tentorial notch). Supratentorial are divided into middle cranial fossa, convexity, inter-hemisferic, sellar region, and intraventricular. Infratentorial are classified into supracerebellar, infracerebellar, hemispheric, clivus, and cerebellopontine angle. Finally spinal arachnoid cysts are classified taking into account whether they are extra- or intradural, and nerve root involvement.
Artículo

Si es la primera vez que accede a la web puede obtener sus claves de acceso poniéndose en contacto con Elsevier España en suscripciones@elsevier.com o a través de su teléfono de Atención al Cliente 902 88 87 40 si llama desde territorio español o del +34 932 418 800 (de 9 a 18h., GMT + 1) si lo hace desde el extranjero.
Si ya tiene sus datos de acceso, clique aquí.
Si olvidó su clave de acceso puede recuperarla clicando aquí y seleccionando la opción "He olvidado mi contraseña".
										
				








