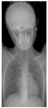
Las lesiones penetrantes de la médula espinal son una causa importante de traumatismo medular. Hay 2 causas destacables: las armas de fuego y los objetos punzantes. Dentro de los objetos punzantes, destacan el arma blanca o raramente los cristales. Presentamos un caso de traumatismo penetrante en una paciente de 18 años, con migración de trozos de cristal a través del músculo y la apófisis espinosa hasta llegar a contactar con el saco dural.
Penetrating injuries to the spine are important causes of spinal cord traumatism. There are two varieties: gunshot or stab wounds. Within the second category, sharp knifelike objects and, rarely, glass are found. This article presents a case of penetrating glass injury to the lumbar spine in an 18-year-old girl, with the migration of pieces of glass within muscles and spinous process until reaching the dural sac.
Artículo

Si es la primera vez que accede a la web puede obtener sus claves de acceso poniéndose en contacto con Elsevier España en suscripciones@elsevier.com o a través de su teléfono de Atención al Cliente 902 88 87 40 si llama desde territorio español o del +34 932 418 800 (de 9 a 18h., GMT + 1) si lo hace desde el extranjero.
Si ya tiene sus datos de acceso, clique aquí.
Si olvidó su clave de acceso puede recuperarla clicando aquí y seleccionando la opción "He olvidado mi contraseña".










