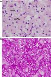
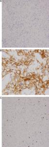
El meningioma de células claras es una variedad infrecuente de meningioma. Se describe el caso de un meningioma espinal multifocal de células claras presente en una paciente de 20 años de edad. Clínicamente refiere lumbalgia de aproximadamente 2 años de evolución. En el estudio de resonancia magnética nuclear (RMN) se evidencia gran tumoración lumbosacra, que ocupa el canal raquídeo de L4 a S2, asociada a 2 lesiones satélites en la región lumbar. Una tumoración intra-extradural fue resecada quirúrgicamente, confirmándose el diagnóstico anatomopatológico de meningioma de células claras. Se resecan así mismo ambas lesiones satélites con idéntico diagnóstico histológico.
Por tanto, en pacientes jóvenes con lesión espinal sugestiva de meningioma debe considerarse la posibilidad de que se trate de un meningioma de células claras, así como su probable origen multifocal y la probabilidad de recidivas.
Clear cell meningioma is a rare morphological form of meningioma. This case report describes a very rare case of multifocal clear cell meningioma in the sacral and lumbar spine. The patient was a 20-year-old female who presented back pain. Magnetic resonance imaging (MRI) revealed a large tumour at L4 to S2 level associated with two, smaller, satellite tumours at the lumbar level. An intra-extradural tumour was surgically removed and the pathological diagnosis of clear cell meningioma was confirmed. Both satellite lesions were also resected and their histopathological diagnosis was the same.
Therefore, clear cell meningioma should be considered in young patients with suggested meningioma in the lumbar spine, as well as the possibility of multifocal origin and postoperative recurrence.
Artículo

Si es la primera vez que accede a la web puede obtener sus claves de acceso poniéndose en contacto con Elsevier España en suscripciones@elsevier.com o a través de su teléfono de Atención al Cliente 902 88 87 40 si llama desde territorio español o del +34 932 418 800 (de 9 a 18h., GMT + 1) si lo hace desde el extranjero.
Si ya tiene sus datos de acceso, clique aquí.
Si olvidó su clave de acceso puede recuperarla clicando aquí y seleccionando la opción "He olvidado mi contraseña".











