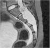
CSF hypotension arises in the context of a leak of CSF which causes negative intracranial pressure. Sacral fractures result from high-energy trauma which are frequently underdiagnosed. A ten-year-old boy presented with hip pain, after a fall. He mobilized both lower limbs, reported no leg pain, irradiation nor lack of sphincter control. The neurological examination was normal. When asked to stand, he began biparietal headache, nausea and vomiting, which improved laying down. CT scan showed an occult intrasacral meningocele; the MRI revealed collections of CSF along the spine, a S3 fracture with potential laceration of the meningocele and opening of a CSF fistula. Our diagnosis was the CSF hypotension, secondary to the fistula opening. The diagnosis was challenging. The child first presented with symptoms of CSF hypotension without evident cause. The discovery of the meningocele led us to hypothesize the opening of a fistula, a rare diagnosis, later confirmed by MRI.
La hipotensión del LCR surge en el contexto de una fuga de dicho líquido que causa presión intracraneal negativa. Las fracturas del sacro son originadas por traumatismos de alta energía que a menudo no se diagnostican. Un niño de diez años acudió con dolor de cadera tras una caída. Podía mover las piernas, no reportando ningún dolor en las mismas, ni irradiación o falta de control del esfínter. El examen neurológico resultó normal. Cuando se le pidió que se pusiera de pie comenzó a sufrir cefalea biparietal, náuseas y vómitos, que mejoraban al tumbarse. La TC mostró un meningocele intrasacro oculto. La RM reveló rastros de LCR a lo largo de la columna, fractura en S3 con laceración potencial del meningocele y apertura de una fístula de LCR. Nuestro diagnóstico fue hipotensión de LCR, secundaria a la apertura de la fístula. El diagnóstico resultó difícil. El niño presentó síntomas de hipotensión del LCR sin causa evidente. El descubrimiento del meningocele nos llevó a conjeturar la apertura de una fístula, un diagnóstico infrecuente que fue confirmado posteriormente mediante RM.
Article

If it is the first time you have accessed you can obtain your credentials by contacting Elsevier Spain in suscripciones@elsevier.com or by calling our Customer Service at902 88 87 40 if you are calling from Spain or at +34 932 418 800 (from 9 to 18h., GMT + 1) if you are calling outside of Spain.
If you already have your login data, please click here . p>
If you have forgotten your password you can you can recover it by clicking here and selecting the option ¿I have forgotten my password¿.







