In patients with acromegaly, the pleiotropic effects of GH and IGF-1 have been associated with the development of endothelial dysfunction and vascular abnormalities.
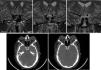
We present the case of a 45-year-old male diagnosed with acromegaly. Magnetic resonance imaging identified a marked dilatation and medialization of both cavernous internal carotid arteries (ICA), leading to a narrow intercarotid distance, a phenomenon known as “carotid kisses”.
This vascular alteration has been described in greater proportion in patients with acromegaly. The anomalies that are also present with greater prevalence in these patients are: aneurysms of the ICA, protrusion of the ICA into the sphenoid sinus, narrow intercarotid distance, fusiform dilatation of the ICA and dehiscence of this artery in the bony canal. The presence of such alterations increases the risk of injury to the ICA.
Pre-surgical detection of such abnormalities is essential to ensure the safety of the surgical approach.
En pacientes con acromegalia, los efectos pleiotrópicos de la GH e IGF-1 se han asociado con el desarrollo de disfunción endotelial y anomalías vasculares.
Se presenta el caso de un varón de 45 años con diagnóstico de acromegalia. La resonancia magnética identificó una marcada dilatación de ambas arterias carótidas internas (ACI) cavernosas con medialización de las mismas condicionando una distancia intercarotídea estrecha, fenómeno conocido como “kissing carótidas”.
Esta alteración vascular se ha descrito en mayor proporción en pacientes con acromegalia. Las anomalías que también se presentan con mayor prevalencia en estos pacientes son: aneurismas de la ACI, protusión de la ACI en el seno esfenoidal, distancia intercarotídea estrecha, dilatación fusiforme de la ACI y la dehiscencia de tal arteria en el canal óseo. La presencial de tales alteraciones, aumenta el riesgo de lesión de la ACI.
La detección prequirúrgica de tales alteraciones es fundamental para garantizar la seguridad del abordaje quirúrgico.
Article

If it is the first time you have accessed you can obtain your credentials by contacting Elsevier Spain in suscripciones@elsevier.com or by calling our Customer Service at902 88 87 40 if you are calling from Spain or at +34 932 418 800 (from 9 to 18h., GMT + 1) if you are calling outside of Spain.
If you already have your login data, please click here . p>
If you have forgotten your password you can you can recover it by clicking here and selecting the option ¿I have forgotten my password¿.





