En pacientes con acromegalia los efectos pleiotrópicos de la GH e IGF-1 se han asociado con el desarrollo de disfunción endotelial y anomalías vasculares.
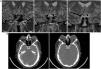
Se presenta el caso de un varón de 45 años con diagnóstico de acromegalia. La resonancia magnética identificó una marcada dilatación de ambas arterias carótidas internas (ACI) cavernosas con medialización de las mismas, condicionando una distancia intercarotídea estrecha, fenómeno conocido como «kissing carótidas».
Esta alteración vascular se ha descrito en mayor proporción en pacientes con acromegalia. Las anomalías que también se presentan con mayor prevalencia en estos pacientes son: aneurismas de la ACI, protrusión de la ACI en el seno esfenoidal, distancia intercarotídea estrecha, dilatación fusiforme de la ACI y la dehiscencia de tal arteria en el canal óseo. La presencial de tales alteraciones aumenta el riesgo de lesión de la ACI.
La detección prequirúrgica de dichas alteraciones es fundamental para garantizar la seguridad del abordaje quirúrgico.
In patients with acromegaly, the pleiotropic effects of GH and IGF-1 have been associated with the development of endothelial dysfunction and vascular abnormalities.
We present the case of a 45-year-old male diagnosed with acromegaly. Magnetic resonance imaging identified a marked dilatation and medialization of both cavernous internal carotid arteries (ICA), leading to a narrow intercarotid distance, a phenomenon known as “carotid kisses”.
This vascular alteration has been described in greater proportion in patients with acromegaly. The anomalies that are also present with greater prevalence in these patients are: aneurysms of the ICA, protrusion of the ICA into the sphenoid sinus, narrow intercarotid distance, fusiform dilatation of the ICA and dehiscence of this artery in the bony canal. The presence of such alterations increases the risk of injury to the ICA.
Pre-surgical detection of such abnormalities is essential to ensure the safety of the surgical approach.
Artículo

Si es la primera vez que accede a la web puede obtener sus claves de acceso poniéndose en contacto con Elsevier España en suscripciones@elsevier.com o a través de su teléfono de Atención al Cliente 902 88 87 40 si llama desde territorio español o del +34 932 418 800 (de 9 a 18h., GMT + 1) si lo hace desde el extranjero.
Si ya tiene sus datos de acceso, clique aquí.
Si olvidó su clave de acceso puede recuperarla clicando aquí y seleccionando la opción "He olvidado mi contraseña".






