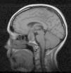
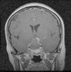
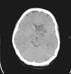
La apoplejía pituitaria es normalmente el resultado de un infarto hemorrágico que acontece a un adenoma hipofisario. La presentación clínica comprende un espectro muy amplio e incluye desde casos asintomáticos, el cuadro clínico clásico e incluso muerte súbita. La isquemia cerebral tras una apoplejía pituitaria ocurre muy raras veces. Se postulan como mecanismos etiopatogénicos el vasoespasmo y/o la compresión vascular arterial provocada por el propio tumor. En el presente artículo describimos un caso de apoplejía pituitaria asociada a infarto cerebral y discutimos la relación entre ambos eventos.
Pituitary apoplexy is usually the result of hemorrhagic infarction in a pituitary adenoma. The clinical presentation varies widely and includes asymptomatic cases, classical pituitary apoplexy and even sudden death. Cerebral ischemia due to pituitary apoplexy is very rare. It may be caused by vasospasm or direct compression of cerebral vessels by the tumor. We report a case of pituitary apoplexy associated with cerebral infarction and discuss the relationship between the two events.
Article

If it is the first time you have accessed you can obtain your credentials by contacting Elsevier Spain in suscripciones@elsevier.com or by calling our Customer Service at902 88 87 40 if you are calling from Spain or at +34 932 418 800 (from 9 to 18h., GMT + 1) if you are calling outside of Spain.
If you already have your login data, please click here . p>
If you have forgotten your password you can you can recover it by clicking here and selecting the option ¿I have forgotten my password¿.




