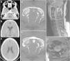
Hydrocephalus, an extremely rare complication of craniocervical junction injuries, is postulated to result from compression of the fourth ventricular cerebrospinal fluid (CSF) outlets by fractured and displaced bone fragments, a swollen upper spinal cord or adhesions formed after a traumatic subarachnoid haemorrhage. We present the case of a 21-year-old woman for whom an injury to the cervical spine complicated by a type I atlanto-occipital dislocation contributed to the development of non-communicating hydrocephalus. The hydrocephalus was probably a consequence of impaired CSF circulation at the fourth ventricular outlets (the foramina of Luschka and Magendie), caused by post-haemorrhagic adhesions formed after severe injury to the craniocervical junction.
La hidrocefalia, una complicación extremadamente rara de las lesiones de la unión craneocervical se considera resultado del bloqueo de las salidas del líquido cefalorraquídeo (LCR) del cuarto ventrículo por los fragmentos óseos fracturados y desplazados, la inflamación de la médula espinal superior o las adherencias formadas después de una hemorragia subaracnoidea traumática. Se reporta caso clínico de una mujer de 21 años en el que la lesión de la columna cervical complicada por una luxación atlanto-occipital de tipo I contribuyó al desarrollo de una hidrocefalia no comunicante. La hidrocefalia probablemente fue consecuencia de una obstrucción del flujo del LCR fuera del cuarto ventrículo (agujeros de Luschka y Magendie), debida a las adherencias post-hemorrágicas formadas después de la grave lesión de la unión craneocervical.
Article

If it is the first time you have accessed you can obtain your credentials by contacting Elsevier Spain in suscripciones@elsevier.com or by calling our Customer Service at902 88 87 40 if you are calling from Spain or at +34 932 418 800 (from 9 to 18h., GMT + 1) if you are calling outside of Spain.
If you already have your login data, please click here . p>
If you have forgotten your password you can you can recover it by clicking here and selecting the option ¿I have forgotten my password¿.







