Este caso presenta un acontecimiento inusual de histiocitosis de células de Langerhans con invasión al parénquima cerebral, un fenómeno raro documentado en pocos casos a nivel mundial. La relevancia de este caso radica en la contribución al conocimiento de esta enfermedad en el contexto neuro-oncológico pediátrico.
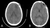
Un niño de 11 años presentó aumento de volumen en la región frontal izquierda, sin déficit neurológico ni síntomas sistémicos. La tomografía y la resonancia magnética revelaron una lesión osteolítica agresiva con edema perilesional y extensión intracraneal.
Se realizó una exéresis completa de la lesión, confirmando histiocitosis de células de Langerhans mediante inmunohistoquímica. Se inició tratamiento con quimioterapia, con buena tolerancia y sin complicaciones hasta el momento.
Este caso destaca la necesidad de un diagnóstico y tratamiento oportunos en los casos de histiocitosis de células de Langerhans con afectación cerebral, dado su impacto potencial en el pronóstico y la escasez de guías específicas para este tipo de manifestaciones.
This case presents an unusual case of Langerhans cell histiocytosis with invasion into the brain parenchyma, a rare phenomenon documented in few cases worldwide. The relevance of this case lies in the contribution to the knowledge of this pathology in the pediatric neuro-oncologic context.
An 11-year-old boy presented with increased volume in the left frontal region, without neurological deficit or systemic symptoms. CT and MRI revealed an aggressive osteolytic lesion with perilesional edema and intracranial extension.
Complete excision of the lesion was performed, confirming Langerhans cell histiocytosis by immunohistochemistry. Chemotherapy was started with good tolerance and no complications so far.
This case highlights the need for timely diagnosis and treatment in cases of Langerhans cell histiocytosis with brain involvement, given its potential impact on prognosis and the scarcity of specific guidelines for this type of manifestations.
Artículo

Si es la primera vez que accede a la web puede obtener sus claves de acceso poniéndose en contacto con Elsevier España en suscripciones@elsevier.com o a través de su teléfono de Atención al Cliente 902 88 87 40 si llama desde territorio español o del +34 932 418 800 (de 9 a 18h., GMT + 1) si lo hace desde el extranjero.
Si ya tiene sus datos de acceso, clique aquí.
Si olvidó su clave de acceso puede recuperarla clicando aquí y seleccionando la opción "He olvidado mi contraseña".
										
				







