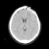
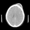
El Pott's puffy tumor (PPT) es una rara entidad que en la actualidad representa un abombamiento del cuero cabelludo asociado a un absceso subperióstico y a una osteomielitis craneal, pudiendo acompañarse o no de infección intracraneal. Suele asociarse a la sinusitis frontal, tratándose de una complicación típica, aunque poco frecuente de la misma. Por su parte las osteomielitis causadas por Actinomyces son raras y suelen tener lugar a nivel mandibular, no encontrándose apenas casos de osteomielitis craneal causada por este género bacteriano, en especial tras traumatismo craneoencefálico. Presentamos un caso especialmente poco usual al tratarse de un PPT frontal tras traumatismo cerrado, con componente intracraneal y en el que tras cirugía se aisló Actinomyces como copartícipe de dicha infección, junto con Fusobacterium y Propionibacterium.
Pott's puffy tumour (PPT) is a rare entity that involves scalp swelling associated with subperiosteal abscess and cranial osteomyelitis, occasionally accompanied by intracranial infection. It is usually affiliated with frontal sinusitis, which is a typical but infrequent complication. On the contrary, Osteomyelitis by Actinomyces is rare and usually occurs at the mandibular level, with very few cases of cranial osteomyelitis caused by this bacterial specie, especially after traumatic brain injury. We report an exceptionally unusual case of a PPT frontal tumor after blunt trauma (closed head injury), with an intracranial lesion whereby Actinomyces was isolated after surgery, as a co-participant of the mentioned infection besides Fusobacterium and Propionibacterium.
Artículo

Si es la primera vez que accede a la web puede obtener sus claves de acceso poniéndose en contacto con Elsevier España en suscripciones@elsevier.com o a través de su teléfono de Atención al Cliente 902 88 87 40 si llama desde territorio español o del +34 932 418 800 (de 9 a 18h., GMT + 1) si lo hace desde el extranjero.
Si ya tiene sus datos de acceso, clique aquí.
Si olvidó su clave de acceso puede recuperarla clicando aquí y seleccionando la opción "He olvidado mi contraseña".










