El síndrome de twiddler es una extraña complicación relacionada con los dispositivos implantables de estimulación eléctrica. Descrito por primera vez en un paciente portador de marcapasos, es una complicación conocida en el ámbito de la cardiología, aunque no lo es tanto en el mundo de la neurocirugía, donde se ha descrito en relación con dispositivos de estimulación cerebral profunda.
Se caracteriza por la manipulación, ya sea consciente, ya inconsciente, del generador de tales dispositivos, lo que origina el giro de este sobre sí mismo, lo que ocasiona el trenzado del cableado de estos sistemas, pudiendo provocar su rotura o bien el desplazamiento de los electrodos intracraneales.
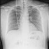
Describimos un caso de síndrome de twiddler en un paciente tratado mediante estimulación cerebral profunda para el trastorno obsesivo compulsivo que, tras una buena respuesta inicial, presenta un deterioro clínico, apreciándose en las radiografías de control del sistema el giro del cableado y el desplazamiento de los electrodos intracraneales.
Twiddler's syndrome is a rare complication associated with implantable electrical stimulation devices. First described in a patient with a pacemaker, it is a known complication in the field of cardiology. However, it is not so recognised in the world of neurosurgery, in which it has been described in relation to deep brain stimulation (DBS) devices.
Characterised by manipulating either consciously or unconsciously the generator of such devices, which causes it to rotate on itself, the syndrome causes the coiling of the wiring of these systems and can lead to their rupture or the displacement of intracranial electrodes.
We describe a case of twiddler's syndrome in a patient treated with DBS for obsessive-compulsive disorder, in which clinical deterioration presented after a good initial response. Control radiographs revealed rotation of the wiring system and displacement of the intracranial electrodes.
Artículo

Si es la primera vez que accede a la web puede obtener sus claves de acceso poniéndose en contacto con Elsevier España en suscripciones@elsevier.com o a través de su teléfono de Atención al Cliente 902 88 87 40 si llama desde territorio español o del +34 932 418 800 (de 9 a 18h., GMT + 1) si lo hace desde el extranjero.
Si ya tiene sus datos de acceso, clique aquí.
Si olvidó su clave de acceso puede recuperarla clicando aquí y seleccionando la opción "He olvidado mi contraseña".








