The irreducible neuroaggressive disorder (IND) is a well-described entity known to be associated with impulsive and aggressive behaviour. While various studies have assessed available pharmacological and non-pharmacological treatment regimens, patients with IND continue to pose a major threat to themselves and society. While targeted stereotactic therapy for IND has gained traction in recent years, there is a paucity of information describing comparative effectiveness of different validated anatomic regions. In this paper, we discuss the surgical results for patients with IND following targeted lesional therapy with a special focus on selection criteria and operative methods. The objective is to analyse the efficacy and safety of the different described targets for this disorder in paediatric patients.
Materials and methodsEight paediatric patients met strict criteria for IND and were enrolled in this study. Electroencephalography (EEG), video electroencephalography (VEEG) and magnetic resonance imaging (MRI) were performed in all patients prior to surgery. Irreducible neuroagressive symptom was approached by lesional therapy based on most described targets for this disorder and assessed by the Overt Aggression Scale (OAS) pre-operatively and 6 months following surgery, using Wilcoxon test for statistical analysis.
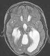
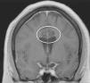
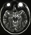
Results and conclusionsThe average patient age was 13 years 2 months. 7 of the 8 patients enrolled had intellectual disabilities, 1 patient suffered neurologic sequelae referable to Dandy–Walker syndrome and 7 patients had no preoperative anatomical alterations. Following surgery, patients with IND noted improvement in their OAS. On average, the OAS improved by 39.29% (p=.0156), a figure similar in comparison to studies assessing treatment of IND in adult patients. The most satisfactory results were achieved in patients whose ablative therapy involved the Amygdala in their targets. There were no deaths or permanent neurological deficits attributable to procedure. To the author's knowledge, this is the largest series described in the literature for paediatric patients with IND treated with lesional stereotactic therapy.
El trastorno neuroagresivo irreductible (TNI) es una entidad bien descrita asociada con comportamiento impulsivo y agresivo. Es un dilema tanto para el tratamiento farmacológico como para el no farmacológico en la psiquiatría moderna, implicando un riesgo individual y social importante. A pesar de los avances en la terapia estereotáctica dirigida para TNI persiste una ausencia de información cuando se compara la eficacia de los diferentes blancos anatómicos validados. En el presente trabajo se describen los resultados quirúrgicos de los pacientes con TNI tratados con cirugía estereotáctica ablativa, con enfoque en los criterios de selección y métodos utilizados en nuestra institución. El objetivo es analizar la eficacia y seguridad de los diferentes blancos estereotácticos más utilizados para agresividad irreductible en niños.
Materiales y métodosSeleccionamos a 8 pacientes pediátricos con TNI bajo un estricto protocolo. Se les realizó electroencefalograma, videoelectroencefalograma y resonancia magnética previo a la cirugía. El síntoma neuroagresivo irreductible fue tratado con cirugía estereotáctica hacia los blancos cerebrales más descritos para agresividad, y posteriormente evaluado mediante la Overt Agressive Scale en el prequirúrgico y a los 6 meses de seguimiento, usando el test de Wilcoxon para el análisis estadístico.
Resultados y conclusionesLa edad promedio de los pacientes fue de 13 años y 2 meses, 7 de los 8 pacientes incluidos tenían discapacidad intelectual, un paciente tenía secuelas neurológicas por síndrome de Dandy Walker y 7 pacientes no tenían alteraciones anatómicas preoperatorias. Después de la cirugía los pacientes mostraron mejoría en la escala Overt Agressive Scale con un promedio de 39,29% (p=0,0156), lo cual se encuentra dentro del rango descrito para TNI en adultos. Los resultados más satisfactorios tuvieron en común la inclusión del complejo nuclear amigdalino dentro de los blancos quirúrgicos. No hubo muertes ni secuelas permanentes atribuibles al procedimiento. La presente serie es la más grande descrita en la literatura hasta el momento para pacientes pediátricos con TNI tratados con ablación estereotáctica.
Article

If it is the first time you have accessed you can obtain your credentials by contacting Elsevier Spain in suscripciones@elsevier.com or by calling our Customer Service at902 88 87 40 if you are calling from Spain or at +34 932 418 800 (from 9 to 18h., GMT + 1) if you are calling outside of Spain.
If you already have your login data, please click here . p>
If you have forgotten your password you can you can recover it by clicking here and selecting the option ¿I have forgotten my password¿.











